Авторы: Vi Dao, DDS,* Sanjay M. Mallya, BDS, MDS, PhD,† Daniela Markovic, MS,‡ Sotirios Tetradis, DDS, PhD,† and Nadia Chugal, DDS, MS, MPH*
Журнал: Journal of endodontics, июнь 2023
Ссылка на оригинальный источник
Введение
Резорбция корня — это деструктивный процесс, который может приводить к потере зуба. Процесс характеризуется утратой дентина и цемента вследствие физиологических или патологических процессов. Патофизиология включает остеокластическую активность на поверхности корня, на которую воздействуют различные стимулирующие факторы.
Процесс резорбции изучали в ответ на бактериальную инфекцию, давление со стороны ретинированных зубов, травму, механические силы при ортодонтическом лечении, а также внутрикоронковое отбеливание. Он исследовался как в витальных, так и в эндодонтически леченных зубах, а также как часть физиологического процесса резорбции корней молочных зубов.
Резорбцию корня в широком смысле классифицируют как внутреннюю или наружную — в зависимости от расположения относительно поверхности корня. Другие формы резорбции включают цервикальную, индуцированную инфекцией, заместительную или индуцированную ретинированными зубами. В разных исследованиях описаны различные типы резорбции, их клиническая картина, гистопатология и лечение.
До недавнего времени выявление резорбции основывалось преимущественно на традиционных двумерных рентгенограммах и/или клиническом обследовании. Однако существуют ограничения выявления из-за чувствительности/специфичности обычной рентгенографии и трудностей визуализации очагов резорбции на фоне перекрывающихся анатомических структур. CBCT-визуализация обладает более высокой чувствительностью в выявлении очагов резорбции корня и обеспечивает больше деталей о локализации и распространённости поражения, что отражает трёхмерную природу CBCT. Это привело к более поздней, основанной на CBCT трёхмерной классификации наружной цервикальной резорбции корня.
С увеличением использования CBCT в стоматологии важно, чтобы стоматологи распознавали спектр проявлений резорбции корня и знали, насколько часто она выявляется. Несмотря на то что многие исследования изучали этиологию, диагностику и классификацию резорбции корня, эпидемиологических исследований немного. Поэтому распространённость и характеристики резорбции корня остаются неизвестными.
Цель данного исследования — определить распространённость резорбции корня и её подкатегорий (как они указаны в радиологических заключениях) по данным CBCT-сканов пациентов, направленных по различным показаниям, в отделение оральной радиологии стоматологической школы на юго-западе США.
Материалы и методы
Выборка
В выборку включили CBCT-сканы всех последовательных пациентов (n = 1086), направленных в UCLA School of Dentistry для CBCT-исследования в период с 1 января 2018 г. по 30 июня 2019 г. Всего было выполнено 1148 сканирований на аппаратах 3D Accuitomo 170 (J. Morita) и NewTom 5G (Verona, Italy) с ограниченными челюстно-лицевыми и краниофациальными полями обзора (FOV). Исследование одобрено Institutional Review Board UCLA (IRB #14-000942).
Радиологические заключения
Каждое CBCT-исследование сопровождалось радиологическим заключением, выполненным одним из трёх калиброванных сертифицированных (board certified) челюстно-лицевых радиологов. Все трое — стоматологи с формальным обучением по оральной и челюстно-лицевой радиологии и сертификацией American Board of Oral and Maxillofacial Radiology. Радиологи в этой группе последовательно используют один и тот же систематический подход к комплексной оценке всего объёма CBCT и описывают все значимые находки независимо от области интереса или цели исследования. В рамках рутинного протокола все сканы оцениваются на наличие любых стоматологических заболеваний, включая резорбцию зуба/корня. В отчётах обычно указывается зуб с резорбцией, описывается её происхождение (внутренняя или наружная), локализация и приводятся связанные значимые признаки.
Извлечение данных и переменные
Данные для исследования извлекали из радиологических заключений; выбранные переменные заносили в базу Excel. Заключения не содержали клинических данных или результатов тестов чувствительности. Оценивали следующие переменные:
-
показания к назначению CBCT (эндодонтический обзор/обзор на трещину зуба, имплантологический обзор, обследование ВНЧС (TMJ), ортодонтический обзор, оценка резорбции зуба, оценка неодонтогенной патологии, ретинированный зуб/зубы и/или общая оценка, оценка сверхкомплектного зуба/зубов, травма челюсти/зуба, пародонтит, пародонтальная болезнь и/или другие показания);
-
универсальный номер зуба и группа зубов (фронтальные, премоляры, моляры);
-
демографические данные (возраст и пол);
-
наличие и тип резорбции;
-
наличие периапикальной/перирадикулярной патологии;
-
признаки предшествующего эндодонтического лечения.
Классификация типов резорбции
Зуб/зубы, идентифицированные как имеющие резорбцию, регистрировали; тип резорбции описывали и категоризировали согласно Glossary of Endodontic Terms Американской ассоциации эндодонтистов (AAE). Кратко категории определялись следующим образом:
-
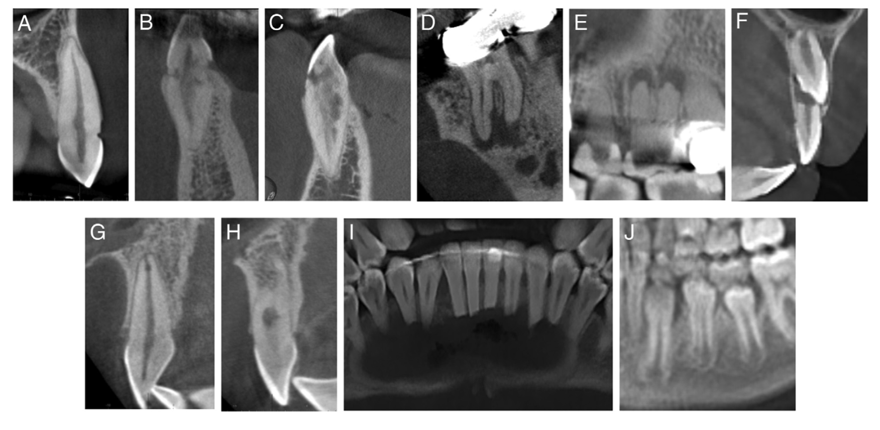
Цервикальная резорбция корня: начинается в шейной области зуба и обычно вовлекает коронковую треть корня. Отличается от наружной резорбции локализацией и инвазивным «нитевидным» распространением в дентин. (См. Рис. 1 A–C.)
-
Наружная воспалительная резорбция корня: характеризуется радиопрозрачными дефектами вдоль апикальной и средней третей поверхности корня, с вовлечением пульпы или без него. (См. Рис. 1D.)
-
Эта категория включает резорбцию, индуцированную инфекцией (апикальную воспалительную резорбцию), вызванную апикальным периодонтитом, которая может приводить к притуплению верхушки корня или расширению апикального отверстия. Зубы с апикальным периодонтитом относили к этой группе. (См. Рис. 1E.)
-
Резорбция, индуцированная давлением: рентгенологически определяется рядом с ретинированным зубом и по пути его прорезывания. (См. Рис. 1F.)
-
Внутренняя резорбция: распознаётся как одно или несколько локализованных расширений корневого канала; может распространяться до поверхности корня и вызывать перфорацию или не распространяться. (См. Рис. 1G.)
-
Заместительная резорбция: подразумевается, когда резорбтивный дефект заполнен костью; рентгенологически проявляется исчезновением периодонтальной щели и компактной пластинки, с локальным сращением зуба с костью. (См. Рис. 1H.)
-
Резорбция корня неодонтогенного происхождения. (См. Рис. 1I.)
-
Физиологическая резорбция: рентгенологические признаки утраты корня молочного зуба рядом с постоянным зубом-преемником. (См. Рис. 1J.)

Рисунок 1. Типы резорбции корня
Если резорбция наблюдалась, но не была указана как показание к направлению, её фиксировали как случайную находку резорбции (incidental finding of resorption, IFR).
Статистический анализ
Категориальные переменные суммировали как частоту (процент), непрерывные — как среднее (SD). Переменные на уровне пациента сравнивали по статусу резорбции с использованием критерия хи-квадрат или критерия Уилкоксона (rank sum) для категориальных и непрерывных переменных соответственно. Распространённость резорбции рассчитывали в целом и после стратификации по демографическим переменным. Для оценок распространённости рассчитывали 95% доверительные интервалы (CI) по нормальному приближению. Распространённость сравнивали между группами критерием хи-квадрат.
Переменные на уровне скана (например, показание к CBCT) сравнивали по статусу резорбции с использованием логистического анализа обобщённых оценочных уравнений (GEE), учитывая, что наблюдения (сканы) внутри одного пациента не являются независимыми.
Распространённость типов резорбции сравнивали по конкретным переменным с использованием тестов хи-квадрат. Факторы, ассоциированные со случайным выявлением резорбции (IFR), оценивали моделью GEE-логистической регрессии, учитывая, что наблюдения (зубы) внутри одного пациента не независимы. Модель 1 корректировали по возрастной группе, полу, группе зубов, периапикальному статусу/диагнозу и наличию предшествующего эндодонтического лечения. Модель 2 корректировали по тем же переменным, а также по категориям показаний к CBCT. Финальные модели выбирали методом обратного исключения переменных (backwards procedure). Число очагов резорбции на пациента сравнивали по демографическим переменным тестом Уилкоксона. Анализы выполняли в SAS version 9.4. Поскольку анализы носили исследовательский характер, поправки на множественные сравнения не выполняли; номинальное значение P < 0,05 считали статистически значимым.
Размер выборки
Целью исследования было получение описательных оценок распространённости резорбции на пациента по данным CBCT. Предварительный (a priori) расчёт размера выборки не проводили, поскольку анализ основывался на удобной выборке (convenience sample) всех CBCT-сканов последовательных пациентов за 18-месячный период исследования.
Результаты
Характеристики выборки исследования
В анализ включили 1148 сканирований, соответствующих 1086 пациентам. Демографические и клинические характеристики представлены в Таблице 1. Средний возраст составил 51,3 года (SD = 18,7), 58,7% пациентов были женского пола. Средний возраст мужчин — 52,1 года (SD = 19,1), женщин — 50,8 года (SD = 18,5). Большинство визуализированных областей/зубов (93,9%) были получены на 3D Accuitomo 170 (J Morita), тогда как 6,1% — на NewTom 5G.
Таблица 1 - Описание выборки исследования
| Переменная | В целом (n = 1148 сканов) | Без резорбции (n = 971 скан) | Резорбция (n = 177 сканов) | P value |
|---|---|---|---|---|
| Тип скана, n (%) | 0,195 | |||
| Morita | 1078 (93,9) | 908 (93,5) | 170 (96,0) | |
| NewTom | 70 (6,1) | 63 (6,5) | 7 (4,0) | |
| (n = 1086 пациентов) | (n = 915 пациентов) | (n = 171 пациент) | ||
| Возраст, лет, среднее (SD) | 51,3 (18,7) | 51,5 (18,7) | 50,8 (18,8) | 0,658 |
| Мужчины, n (%) | 448 (41,3) | 368 (40,2) | 80 (46,8) | 0,381 |
| Женщины, n (%) | 638 (58,7) | 547 (59,8) | 91 (53,2) |
Типы резорбции корня: A–C — цервикальная резорбция корня с демонстрацией нарастающей тяжести; D — наружная воспалительная резорбция корня; E — апикальная резорбция, индуцированная инфекцией; F — резорбция, индуцированная давлением; G — внутренняя резорбция; H — внутренняя и заместительная резорбция; I — резорбция корня неодонтогенного происхождения; J — физиологическая резорбция корня.

Рисунок 1. Типы резорбции корня
Распространённость резорбции в общей выборке и по демографии
Из 1086 пациентов у 171 (15,7%; 95% CI: 13,6%–17,9%) была выявлена резорбция на CBCT (см. Таблицу 2). Распространённость резорбции была сходной у мужчин и женщин (17,9%; 95% CI: 14,3%–21,4% против 14,3%; 95% CI: 11,5%–17,0%; P > 0,05) и статистически значимо не различалась между возрастными группами (диапазон: 12%–19%; P > 0,05).
Таблица 2 - Распространённость резорбции по демографии
| Переменная | В целом | Без резорбции | Резорбция | P value |
|---|---|---|---|---|
| Пациенты, n (%) | 1086 (100) | 915 (84,3) | 171 (15,7) | |
| Мужчины, n (%) | 448 (41,3) | 368 (82,1) | 80 (17,9) | 0,381 |
| Женщины, n (%) | 638 (58,7) | 547 (85,7) | 91 (14,3) | |
| Возрастная группа, лет, n (%) | 0,262 | |||
| ≤ 20 | 67 (6,2) | 57 (85,1) | 10 (14,9) | |
| 21–30 | 112 (10,3) | 92 (82,1) | 20 (17,9) | |
| 31–40 | 129 (11,9) | 108 (83,7) | 21 (16,3) | |
| 41–50 | 159 (14,6) | 128 (80,5) | 31 (19,5) | |
| 51–60 | 210 (19,3) | 184 (87,6) | 26 (12,4) | |
| 61–70 | 237 (21,8) | 200 (84,4) | 37 (15,6) | |
| > 70 | 172 (15,8) | 146 (84,9) | 26 (15,1) |
Показания к CBCT в зависимости от наличия резорбции
Показания к CBCT распределялись по-разному между группами с резорбцией и без неё (P < 0,001). Для сканов пациентов без резорбции наиболее частыми показаниями были эндодонтическое лечение (29,8%), планирование имплантации (28,7%), оценка ВНЧС (15,1%) и диагностика неодонтогенной патологии (12,1%). Для сканов пациентов с резорбцией наиболее частыми показаниями были обследование для эндодонтического лечения (47,5%), импланты (16,4%), неодонтогенная патология (9,6%) и ретинированный зуб (7,3%).
Распространённость резорбции по показаниям к CBCT
Вероятность/распространённость резорбции для каждого клинического показания представлена в Таблице 3. Среди показаний с наибольшей распространённостью резорбции были: «резорбция присутствует» (92,3%), направление по нескольким показаниям (42,9%), эндодонтическое лечение (22,5%) и ретинированный зуб (18,8%).
Таблица 3 - Распространённость резорбции по показаниям к CBCT
| Переменная | В целом | Без резорбции | Резорбция | P value |
|---|---|---|---|---|
| Сканы, n (%) | 1148 (100) | 971 (84,6) | 177 (15,4) | |
| Показание | < 0,001 | |||
| Эндодонтическое лечение | 373 (32,5) | 289 (77,5) | 84 (22,5) | |
| Имплантологический обзор | 308 (26,8) | 279 (90,6) | 29 (9,4) | |
| ВНЧС (TMJ) | 151 (13,2) | 147 (97,4) | 4 (2,6) | |
| Неодонтогенная патология | 134 (11,7) | 117 (87,3) | 17 (12,7) | |
| Ретинированный зуб | 69 (6,0) | 56 (81,2) | 13 (18,8) | |
| Другое | 53 (4,6) | 41 (77,4) | 12 (22,6) | |
| Общая оценка | 23 (2,0) | 22 (95,7) | 1 (4,3) | |
| Ортодонтическое лечение | 17 (1,5) | 15 (88,2) | 2 (11,8) | |
| Несколько показаний | 7 (0,6) | 4 (57,1) | 3 (42,9) | |
| Резорбция присутствует | 13 (1,1) | 1 (7,7) | 12 (92,3) |
Характеристики зубов с резорбцией на CBCT
Клинические особенности зубов с резорбцией на CBCT суммированы на Рисунке 2. Большинство поражённых зубов — резцы и клыки (43,8%), то есть фронтальная группа; далее следуют моляры (40,6%), премоляры (14,5%) и, наконец, молочные зубы (1,1%) (см. Рис. 2A). Большинство зубов с резорбцией не имели предшествующего эндодонтического лечения (73,9%) (см. Fig. 2B) и имели рентгенологически нормальную периапикальную область (69,5%) (см. Рис. 2C).
Рисунок 2. Характеристики зубов, у которых диагностирована резорбция (n = 249), в зависимости от: A) группы зубов; B) наличия предшествующего эндодонтического лечения; C) периапикального диагноза.
Распространённость резорбции по типам/категориям
Распространённость типов резорбции для 249 поражённых зубов показана на Рисунке 3A. Наиболее частыми типами были: наружная (29,3%), затем цервикальная (22,5%), апикальная/инфекционно-индуцированная (13,7%), внутренняя (9,6%), индуцированная ретинированным зубом (8,8%) и заместительная резорбция (4,8%). Распространённость 6 наиболее частых типов резорбции анализировали в зависимости от клинических характеристик на уровне зуба (см. Рис. 3B–D). В выборке было лишь 3 молочных зуба, что составляет около 1% наблюдений с резорбцией.
Распространённость разных типов резорбции значимо различалась между группами зубов (общий эффект: P < 0,001) (Рис. 3B). Типы, которые значимо различались по группам зубов, включали: апикальную инфекционно-индуцированную резорбцию, внутреннюю резорбцию и резорбцию, индуцированную ретинированным зубом. В частности, распространённость апикальной инфекционно-индуцированной резорбции была более чем в 4 раза выше у премоляров (22,2%) или моляров (20,8%) по сравнению с фронтальными зубами (4,6%) (P < 0,001). Кроме того, распространённость внутренней резорбции была максимальной у фронтальных зубов — 15,6%, что почти в 4 раза больше, чем у моляров (4,0%), и почти в 2 раза больше, чем у премоляров (8,3%) (P < 0,05). С другой стороны, распространённость резорбции, индуцированной ретинированным зубом, была максимальной у моляров (14,9%) по сравнению с 0% у премоляров и 6,4% у фронтальных (P < 0,05). Распространённость наружной и цервикальной резорбции значимо не различалась между группами зубов.
Распространённость разных типов резорбции также значимо различалась в зависимости от наличия предшествующего эндодонтического лечения (P < 0,001) (Рис. 3C). Типы, которые значимо различались между зубами с лечением и без него, включали: апикальную инфекционно-индуцированную резорбцию, цервикальную резорбцию, внутреннюю резорбцию и резорбцию, индуцированную ретинированным зубом. В частности, зубы с предшествующим эндодонтическим лечением значительно чаще имели апикальную инфекционно-индуцированную резорбцию (43,1%) по сравнению с зубами без эндодонтического лечения (лишь 3,7%) (P < 0,001). Зубы без эндодонтического лечения значительно чаще имели цервикальную резорбцию (26,1% против 12,3%; P < 0,05), внутреннюю резорбцию (12% против 3,1%; P < 0,05) или резорбцию, индуцированную ретинированным зубом (12% против 0%; P < 0,01). Распространённость наружной резорбции не различалась в зависимости от факта эндодонтического лечения.
Наконец, распространённость типов резорбции значимо отличалась в зависимости от рентгенологических признаков периапикальных очагов (P < 0,001) (Рис. 3D). Типы, которые значимо различались между зубами с периапикальными очагами и без них, включали: апикальную инфекционно-индуцированную, цервикальную, внутреннюю и индуцированную ретинированным зубом резорбции. В частности, зубы с периапикальным очагом значительно чаще имели апикальную инфекционно-индуцированную резорбцию (44,8%) по сравнению с зубами с нормальными апикальными структурами (0%) (P < 0,001). По сравнению с зубами с периапикальными очагами, зубы с рентгенологически нормальной периапикальной областью значительно чаще имели цервикальную резорбцию (28,3% против 9,2%; P < 0,005), внутреннюю резорбцию (13,3% против 1,3%; P < 0,005) или резорбцию, индуцированную ретинированным зубом (12,7% против 0%; P < 0,005). Распространённость наружной резорбции между этими группами значимо не различалась.
Также оценивали, различается ли распространённость типов резорбции в зависимости от категории показаний к направлению на CBCT. Распространённость цервикальной резорбции значимо различалась между категориями показаний (P < 0,001). В частности, цервикальная резорбция чаще всего встречалась при показании «эндодонтическое лечение» (30,5%), затем при «имплантологическом обзоре» (25%) и при «резорбция присутствует» как основном показании (23,5%), тогда как в остальных категориях она была < 10%. Распространённость резорбции, индуцированной ретинированным зубом, закономерно была максимальной при показании «ретинированный зуб» — 58,8% против < 15% для любых других категорий показаний (P < 0,005). Данных о различиях распространённости типов резорбции по полу или возрастным группам не получено (результаты не показаны).
Рисунок 3. Распространённость типов резорбции: A) в общей выборке зубов с резорбцией (n = 249) и в зависимости от: B) группы зубов (3 молочных зуба исключены из анализа группы фронтальных; поэтому для анализа по группам зубов n = 246); C) наличия предшествующего эндодонтического лечения; D) периапикального диагноза.
Наличие множественных очагов резорбции
Количество очагов резорбции на пациента представлено в Таблице 4. Из 171 пациента с диагностированной резорбцией у 32 (18,7%) было 2 очага, тогда как у 15 (8,7%) — 3 и более очагов. Количество очагов резорбции на пациента не различалось статистически значимо в зависимости от возраста или пола.
Таблица 4 - Число очагов резорбции на пациента
| Очагов на пациента | Пациенты, n (%) |
|---|---|
| 1 | 124 (72,5) |
| 2 | 32 (18,7) |
| 3 | 7 (4,4) |
| 4 | 4 (2,3) |
| 5 | 1 (0,6) |
| 6 | 2 (1,2) |
| 7 | 1 (0,6) |
| Итого | 171 (100) |
Распространённость случайно выявленной резорбции
Из 249 зубов с резорбцией 77 (31%) были представлены как IFR (случайная находка резорбции). Распространённость IFR значимо различалась между показаниями к CBCT, как представлено в Таблице 5. IFR была максимальной при обследовании ВНЧС (TMJ) (n = 6; 100%), имплантологическом обзоре (n = 41; 93,2%) и обследовании по поводу неодонтогенной патологии (n = 17; 68,0%), и одной из самых низких при эндодонтическом лечении (7,6%).
Таблица 5 - Случайные находки резорбции (IFR) по типу показаний к CBCT для 249 зубов с резорбцией
| Показание | Общее число зубов | Зубы со случайной находкой, n (%) |
|---|---|---|
| Имплантологический обзор | 44 | 41 (93,2) |
| Неодонтогенная патология | 25 | 17 (68,0) |
| Эндодонтическое лечение | 118 | 9 (7,6) |
| ВНЧС (TMJ) | 6 | 6 (100) |
| Другое | 17 | 3 (17,6) |
| Общая оценка | 1 | 1 (100) |
| Ортодонтическое лечение | 4 | 0 |
| Ретинированный зуб | 17 | 0 |
| Резорбция присутствует | 17 | 0 |
| Итого | 249 | 77 (100) |
В однофакторном анализе сравнивали распространённость IFR по демографическим и клиническим характеристикам (Рис. 4). Наиболее важно: распространённость IFR увеличивалась с возрастом — от 7,7% для возрастов < 20 лет до 36%–42% для возрастов > 50 лет (P < 0,05) (Рис. 4A). Кроме того, распространённость IFR была значимо ниже для фронтальных зубов (20,2%) по сравнению с премолярами (41,7%) и молярами (36,6%) (P < 0,05) (Рис. 4B). Распространённость IFR не различалась значимо по наличию предшествующего эндодонтического лечения или периапикальной патологии. В однофакторном (некорректированном) анализе доля IFR была несколько выше у зубов без предшествующего эндодонтического лечения, но результаты не достигли статистической значимости (некорректированное OR = 0,66; P < 0,05 — как указано в тексте).
Многофакторная модель 1 выявила 3 фактора, которые независимо ассоциировались с вероятностью IFR (Таблица 6): возраст, группа зубов и предшествующее эндодонтическое лечение, причём последний фактор почти достиг статистической значимости. Например, каждое увеличение возраста на 10 лет было связано с увеличением шансов IFR на 28% (скорректированное OR = 1,28; 95% CI: 1,04–1,58; P < 0,05) после учёта других ковариат. Кроме того, шансы IFR были в 2,9 раза выше для моляров и в 3,1 раза выше для премоляров по сравнению с фронтальными зубами после учёта других ковариат (премоляры: скорректированное OR = 2,91; P < 0,05; моляры: скорректированное OR = 3,07; P < 0,005). Наличие предшествующего эндодонтического лечения было связано с тенденцией к снижению шансов IFR на 52% после учёта других факторов, однако статистической значимости это не достигло (OR = 0,48; P > 0,05).
В многофакторной модели 2 корректировали по тем же переменным, что и в модели 1, а также по конкретным показаниям (Таблица 6). Модель 2 показала, что шансы IFR были значимо выше при имплантологическом обзоре (скорректированное OR = 202,3; P < 0,001) и при направлении по поводу неодонтогенной патологии (OR = 29,04; P < 0,001) по сравнению с направлением на эндодонтическое лечение после учёта других ковариат. Возраст и группа зубов оставались значимо ассоциированными с шансами IFR и в этой модели. Например, пациенты в возрасте > 30 лет имели 6-кратное увеличение шансов IFR, тогда как моляры и премоляры имели примерно в 4 раза более высокие шансы IFR по сравнению с фронтальными зубами.
Рисунок 4. Распространённость случайных находок резорбции (IFR) в 249 зубах: A) по возрастным группам и B) по группам зубов. Примечание: проценты рассчитаны при использовании зуба как единицы анализа.
Таблица 6 -Многофакторная логистическая модель GEE для предикторов случайных находок резорбции (IFR)
| Переменная | OR | Нижняя 95% CL | Верхняя 95% CL | P value |
|---|---|---|---|---|
| Model 1: | ||||
| Возраст | 1,28 | 1,04 | 1,58 | 0,018 |
| Группа зубов | ||||
| Премоляр | 2,91 | 1,15 | 7,39 | 0,024 |
| Моляр | 3,07 | 1,45 | 6,48 | 0,003 |
| Фронтальные | 1,00 | |||
| Эндодонтическое лечение | ||||
| Да | 0,48 | 0,23 | 1,01 | 0,052 |
| Нет | 1,00 | |||
| Model 2: | ||||
| Возраст | ||||
| > 30 лет | 6,10 | 1,27 | 29,25 | 0,024 |
| ≤ 30 лет | 1,00 | 1,00 | 1,00 | . |
| Группа зубов | ||||
| Премоляр | 3,63 | 1,10 | 11,98 | 0,035 |
| Моляр | 4,08 | 1,35 | 12,31 | 0,013 |
| Фронтальные | 1,00 | |||
| Эндодонтическое лечение | ||||
| Да | 0,45 | 0,16 | 1,33 | 0,149 |
| Нет | 1,00 | |||
| Тип показания | ||||
| Имплантологический обзор | 202,29 | 32,51 | 1258,71 | 0,000 |
| Неодонтогенная патология | 29,04 | 8,14 | 103,67 | 0,000 |
| Другое | 4,16 | 1,03 | 16,71 | 0,045 |
| Эндодонтическое лечение | 1,00 |
Примечание: для возраста OR соответствует увеличению на 10 лет.
Обсуждение
Резорбция корня — сложное клиническое состояние, которое может осложнять стоматологическое лечение. Резорбция чаще всего протекает скрыто и прогрессирует до тех пор, пока не вызывает выраженное повреждение зубных структур, требующее крупных лечебных вмешательств и часто приводящее к потере зуба. Выявление ранних резорбтивных изменений жизненно важно для улучшения исходов лечения. Однако резорбция корня клинически не очевидна, и практикующие врачи зависят от рентгенологической визуализации для выявления и оценки распространённости процесса. CBCT предоставила значимые преимущества по сравнению с двумерными снимками при оценке зубных и челюстно-лицевых структур. Цель данной работы — оценить распространённость разных типов резорбции корня в серии последовательных CBCT-сканов, выполненных в университетской клинике оральной и челюстно-лицевой радиологии для разных диагностических целей. Полученные результаты показывают, что резорбция корня — не редкая находка, она часто выявляется случайно, может затрагивать несколько зубов у одного пациента и может обнаруживаться на CBCT-сканах с разными полями обзора, выполненных по разным клиническим показаниям.
Пациентов направляли на CBCT по различным показаниям. Авторы стремились определить, как часто резорбция корня присутствует на CBCT-сканах среди пациентов, направленных в учреждение, отдельно по каждому показанию и в целом. Большинство случаев резорбции выявляли на сканах, выполненных по показаниям эндодонтического лечения или имплантологического обследования. Вклад 3 молочных зубов (около 1% всех случаев резорбции) минимален, но может привлечь внимание исследовательского сообщества для дальнейшего изучения. Результаты показывают, что общая распространённость резорбции корня на пациента по данным CBCT составила 15,7%.
Резорбтивные изменения распределялись неравномерно. Большинство поражённых зубов — фронтальные, затем моляры и, наконец, премоляры. Причины этого могут быть множественными; гипотетически они включают более высокий риск травм во фронтальном отделе и ортодонтические перемещения зубов для коррекции протрузии резцов и увеличенного оверджета. В большинстве случаев зубы с резорбцией не имели предшествующего эндодонтического лечения и имели рентгенологически нормальные периапикальные ткани. Хотя клинические данные о симптоматике пациентов отсутствовали, эти находки позволяют предположить, что большинство зубов с резорбцией были витальными.
Авторы описали распределение и частоту типов резорбции на CBCT. Наружная резорбция и цервикальная резорбция составляют почти половину всех типов резорбции. Хотя травма зубов чаще всего рассматривается как фактор риска, только 4,8% зубов с резорбцией были охарактеризованы как заместительная резорбция.
Апикальная инфекционно-индуцированная резорбция была в 4 раза более распространена среди премоляров и моляров по сравнению с фронтальными зубами, тогда как внутренняя резорбция чаще всего встречалась во фронтальных зубах. Резорбция, ассоциированная с ретинированными зубами, наиболее сильно была связана с молярами.
Зубы без предшествующего эндодонтического лечения имели значительно более высокие частоты цервикальной и внутренней резорбции, чем зубы с предшествующим эндодонтическим лечением. Различия в частоте и паттернах резорбции корня в витальных и эндодонтически леченных зубах описаны ранее. Причиной направления на CBCT для неэндодонтически леченных зубов могла быть оценка внутренней анатомии, наличие кальцифицированных каналов, резорбция, анамнез травмы и т. п. Однако зубы с предшествующим эндодонтическим лечением имели значительно более высокую частоту инфекционно-индуцированной апикальной резорбции по сравнению с зубами без лечения. Причиной направления на CBCT, вероятно, была оценка возможных причин персистирующего или рецидивирующего апикального периодонтита или симптоматики пациента для выяснения причин неблагоприятного исхода эндодонтического лечения. Заместительная резорбция имела сходное распределение в зубах без и с предшествующим эндодонтическим лечением.
Цервикальная, внутренняя и ассоциированная с ретинированным зубом резорбция чаще встречались в зубах с нормальной периапикальной областью по сравнению с зубами с апикальным периодонтитом. Апикальная инфекционно-индуцированная резорбция присутствовала только у зубов с апикальным периодонтитом и отсутствовала у зубов с нормальной периапикальной областью.
Почти у четверти пациентов с резорбцией было поражено более одного зуба, и почти у 10% было 3 и более очагов резорбции. Число очагов на пациента по данным CBCT не зависело значимо от возраста или пола, что подчёркивает необходимость критически оценивать зубы на наличие резорбции у всех пациентов, обследованных на CBCT, независимо от возраста или пола. Это имеет важные последствия для ведения пациента: если резорбция выявлена в одном зубе, рекомендуется тщательно осматривать соседние зубы и все области полости рта, вошедшие в объём сканирования, на наличие признаков резорбции. Клиницистам следует сознательно прилагать усилия для тщательного поиска резорбции во всём зубном ряду, даже если это не относится к основной зоне интереса или причине направления. Приводится пример: CBCT среднего FOV для оценки беззубого имплантационного участка в правом нижнем отделе может выявить резорбцию корня в зубах верхней левой челюсти. Исследование потенциально могло недооценить распространённость многоочаговой/многозубной резорбции, поскольку большинство сканов имели ограниченный FOV и отображали лишь небольшой сегмент дуги. Тем не менее более 25% пациентов с резорбцией имели более одного поражённого зуба, что подчёркивает, что многозубное вовлечение является частой находкой среди пациентов, направляемых в данное учреждение.
Поскольку подробная клиническая и рентгенологическая история отсутствовала, авторы полагались на показание, указанное клиницистами при назначении CBCT. Если направляющие стоматологи не указывали наличие резорбции в направлении на исследование, резорбцию считали случайной находкой. В рамках такого подхода неожиданным результатом стало то, что резорбция была случайной находкой почти в трети зубов с резорбцией. Вероятное объяснение — бессимптомное течение. Переменной, которая, несомненно, способствовала невозможности диагностировать резорбцию по клиническим данным и внутриротовой рентгенографии, является опыт направляющих врачей. Хотя конкретные сведения об опыте не были доступны, авторы считают разумным предположить, что в академической среде обучающиеся специалисты могут ещё не достигнуть пика диагностической компетентности. Независимо от причин высокой частоты IFR, тщательная детальная оценка всех зубов, попавших в CBCT-объём, является обязательной независимо от симптомов пациента, области интереса направляющего стоматолога или целей планирования лечения.
Текущее исследование выявило 3 фактора, независимо ассоциированные с IFR среди 1148 CBCT-сканов: возраст, группа зубов и предшествующее эндодонтическое лечение. Данные показывают, что частота IFR увеличивается с возрастом и может оставаться незамеченной особенно у лиц старше 50 лет. Частота IFR на CBCT достигала пика в возрасте 50–70 лет — IFR на уровне 42% по сравнению с 7%–25% у более молодых. Поскольку IFR может увеличиваться с возрастом, методичная оценка на наличие участков резорбции становится особенно важной у пожилых пациентов. Дифференциальная диагностика резорбции и кариеса корня представляет клиническую сложность, особенно у пожилых. Паттерн резорбтивных изменений может помочь отличить кариес корня от наружной цервикальной резорбции: например, при наружной резорбции корень находится внутри альвеолярного костного «конверта», тогда как при кариесе корня имеется оголение корня вследствие утраты кости. Кроме того, рентгенологический рисунок изменений отличается при инвазивной цервикальной резорбции и при кариесе корня.
Другая важная находка: частота IFR была статистически наиболее низкой для фронтальных зубов. Сложная организация множественных корней в боковых зубах, дополнительно осложнённая перекрытием структур и увеличением, вероятно, внесла вклад в этот результат. Ожидается, что резорбтивные изменения легче распознавать в одиночнокорневых фронтальных зубах, чем в многокорневых боковых. Поэтому следует прилагать целенаправленные и систематические усилия для тщательной оценки боковых зубов на резорбцию, особенно в старших возрастных группах.
Интересно, что зубы с IFR реже имели предшествующее эндодонтическое лечение. Возможное объяснение: после эндодонтического лечения выполняются плановые контрольные осмотры для оценки заживления; более пристальный контроль лечащего врача может повышать выявляемость неблагоприятных событий и снижать долю «случайных находок». Кроме того, удаление пульпарной ткани устраняет возможность развития внутренней резорбции.
Поскольку исследование базировалось на радиологических заключениях по всем CBCT-сканам за определённый период, включались сканы с разными FOV, а значит — с изначально различающимся пространственным разрешением. Оценка резорбтивных изменений, особенно на ранних стадиях, может быть трудной на сканах среднего и большого FOV. Тем не менее результаты убедительно указывают на важность внимательного и тщательного исследования всех визуализированных зубных структур для выявления резорбции.
Ограничения исследования: во-первых, выводы основаны только на анализе CBCT-сканов. Данные извлекались из точных, систематических и детальных заключений, выполненных формально обученными и сертифицированными челюстно-лицевыми радиологами. Клинические данные не были доступны и не собирались. Поэтому анамнез известных факторов риска резорбции (например, травма или ортодонтическое лечение) отсутствовал и не мог быть оценён. Будущие исследования будут рассматривать эти факторы и их взаимосвязи.
Кроме того, сканы имели разные поля обзора, поэтому невозможно получить данные о распространённости резорбции во всей зубной системе, поскольку многие сканы охватывали лишь часть зубов. Также сообщаемая распространённость резорбции на пациента могла быть занижена, так как резорбция могла присутствовать в зубах, не попавших в объём сканирования. Наконец, большинство направлений на CBCT поступали изнутри учреждения и из некоторых частных практик округа Лос-Анджелес или соседних территорий. Поскольку это удобная выборка сканов одного центра, оценка может плохо обобщаться на другие клинические условия или иные географические регионы.
Для выявления этиологических факторов резорбции корня необходимы дальнейшие многоцентровые исследования с хорошо сопоставимыми контрольными группами. С учётом того, что текущее исследование показывает относительно частое выявление резорбции на CBCT, потребуется дальнейшая работа для более полного понимания данного состояния. Это знание может способствовать разработке более эффективного скрининга, точной диагностики и своевременного лечения на ранних стадиях разрушения корня, чтобы улучшать исходы и предотвращать потерю зубов.
Заключение
Данное исследование продемонстрировало высокую частоту резорбции корня и, в частности, высокую частоту случайно выявляемой резорбции. IFR более распространена в боковых зубах у пожилых людей и может имитировать кариес корня. Поэтому для оптимального прогноза поражённых зубов и улучшения результатов лечения рекомендуются систематическая оценка, ранняя диагностика и внимательное вмешательство.



