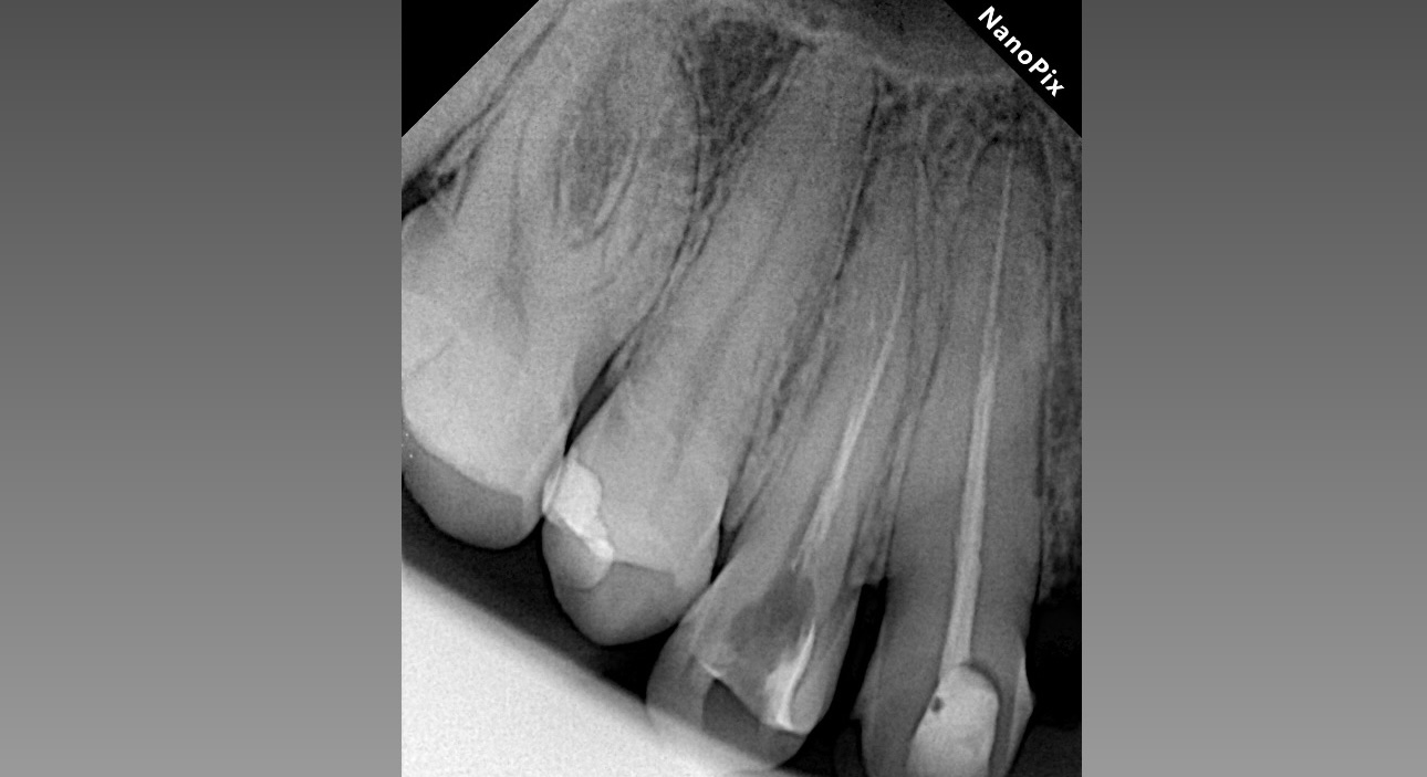
1.3 Хронический апикальный периодонтит.
Длина корневого канала 24 мм.
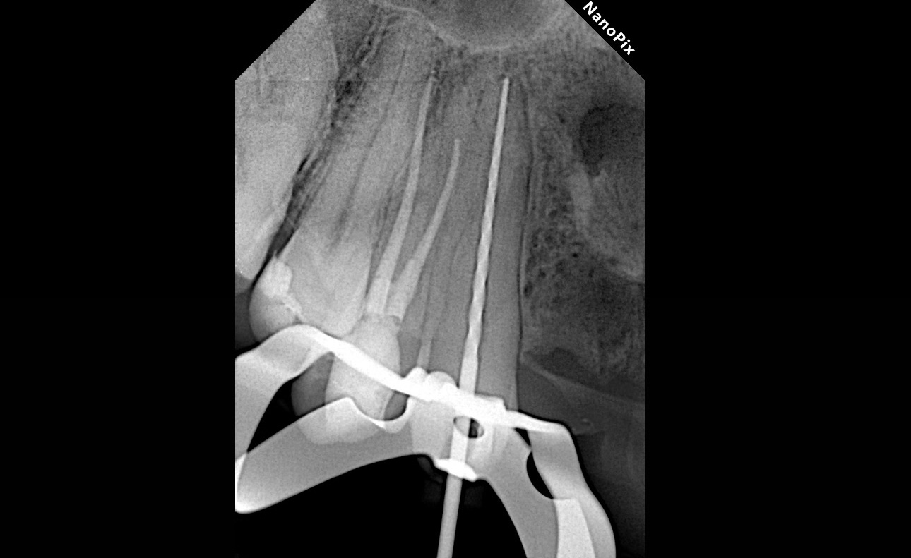
Дезобтурация Sani retreatment. Важно работать от корональной трети, постепенно двигаясь в апикальном направлении. Не стремиться сразу пройти на всю длину канала.
Инструментация Soco SC до 45/04. Финишный инструмент до чистых опилок на кончике файла.
Ирригация 3% NaOCl с УЗ активацией + 17% ЭДТА.
Обтурация биокерамическим силером с гуттаперчей. Автор: Диана Кипарисова
Инструментация Soco SC до 45/04. Финишный инструмент до чистых опилок на кончике файла.
Ирригация 3% NaOCl с УЗ активацией + 17% ЭДТА.
Обтурация биокерамическим силером с гуттаперчей. Автор: Диана Кипарисова






