Новый кейс от Ивана Шепелева! 
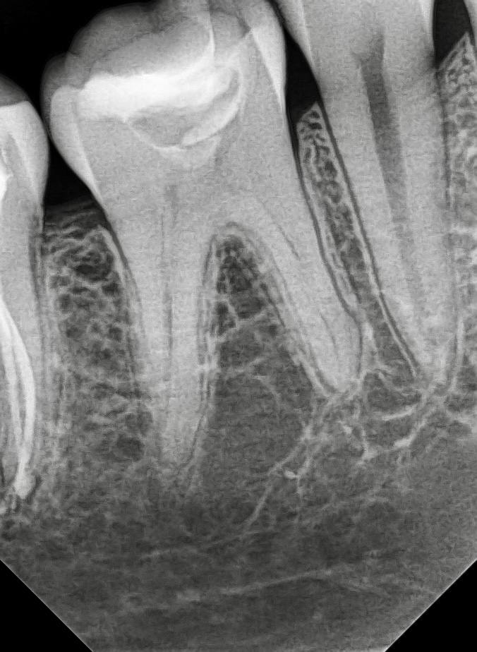
🦷 Облитерация корневых каналов после покрытия рога пульпы неизведанным веществом.
- Поиск корневых каналов твердосплавным бором
- После появляется намеков на ход канала - вкручивание моторным файлом
- После опережение рабочей длины и расширение корневых каналов файла Soco plus до 30.04
- Пломбирование гуттаперча и АН+
Эксклюзивно для DentalStuff








 
                   
                   
                   
                   
                   
                   
                   
                   
                   
                   
                   
                   
                   
                   
                   
                   
                   
                   
                   
                   
                   
                   
                   
                   
                   
                   
                   
                   
                   
                   
                   
                   
                   
                   
                   
                   
                   
                   
                   
                   
                   
                   
                   
                   
                   
                   
                   
                   
                   
                   
                   
                   
                   
                   
                   
       
       
                       
                       
                       
                       
                       
                       
                       
                       
                       
                       
                       
                       
                       
                       
                       
                       
                       
                       
                       
                       
                       
                       
                       
                       
                       
                       
                       
                       
                       
                       
                       
                       
                       
                       
                       
                       
                       
                       
                       
                       
                      